현대인의 식단은 가공식품과 고열량 위주로 변화하면서 필수 지방산의 균형이 깨지고 있습니다. 특히 오메가3 지방산은 뇌 발달과 기능 유지에 필수적이지만, 실제 섭취량은 권장치에 비해 낮은 경우가 많습니다. 최근 연구에서는 오메가3 섭취 부족이 전두엽 발달에 부정적인 영향을 미칠 수 있다는 사실이 밝혀지고 있습니다. 전두엽은 충동 조절, 의사결정, 사회적 행동을 담당하는 핵심 영역으로, 성장기에 섭취 불균형이 생길 경우 인지적·정서적 문제로 이어질 수 있습니다. 본 글에서는 오메가3 결핍과 전두엽 발달 장애의 연관성에 대해 과학적 근거와 연구 결과를 중심으로 살펴보고자 합니다.
전두엽의 구조와 기능
전두엽은 대뇌의 앞부분을 차지하며 인간의 고등 인지 기능을 담당합니다. 이 영역은 의사결정, 계획 수립, 주의 집중, 감정 조절, 사회적 행동과 같은 복잡한 과정에 관여합니다. 특히 전전두엽(prefrontal cortex)은 미래를 예측하고 충동을 억제하며 타인의 감정을 이해하는 데 중요한 역할을 합니다. 뇌 영상 연구에 따르면 청소년기의 전두엽은 아직 성숙 과정에 있으며, 영양적 환경이 그 발달 속도와 신경 연결망 형성에 큰 영향을 미칩니다. DHA와 같은 오메가3 지방산은 신경세포막의 유동성을 높이고 시냅스 형성을 촉진하는 데 필요하기 때문에 전두엽의 성장과 기능 유지에 핵심적입니다.
오메가3의 생리적 역할
오메가3 지방산은 α-리놀렌산(ALA), 에이코사펜타엔산(EPA), 도코사헥사엔산(DHA)으로 나눌 수 있습니다. 이 중 DHA는 뇌의 피질과 시냅스에서 가장 중요한 지방산으로, 뉴런 간 신호 전달의 효율성을 높이고 염증 반응을 억제합니다. Innis(2007)는 DHA가 부족할 경우 신경세포막의 유동성이 저하되어 신경전달 물질의 기능에 장애가 발생한다고 보고했습니다. 또한 Salem et al.(2001)은 동물 실험에서 오메가3가 결핍된 식이를 섭취한 경우 시냅스 전위의 형성과 장기 강화(long-term potentiation)가 감소하는 결과를 보였습니다. 이러한 생리적 근거는 오메가3 부족이 전두엽 기능 저하로 이어질 수 있음을 보여줍니다.
동물 실험에서의 증거
여러 동물 연구는 오메가3 결핍이 전두엽 발달에 부정적 영향을 미친다는 사실을 증명했습니다. Bhatia et al.(2011)은 성장기 랫트에게 오메가3가 결핍된 식이를 제공했을 때 전두엽의 DHA 농도가 유의미하게 감소하고, 동시에 염증 관련 단백질이 증가했다고 발표했습니다. 또한 Neuringer et al.(1986)의 영장류 연구에서는 임신 중 오메가3 결핍이 태아 원숭이의 전전두피질 DHA 함량을 감소시키고 인지 행동 발달에 문제를 일으켰습니다. 이런 결과들은 발달 초기부터 충분한 오메가3 공급이 전두엽의 구조적 완성과 신경회로 형성에 필수적임을 시사합니다.
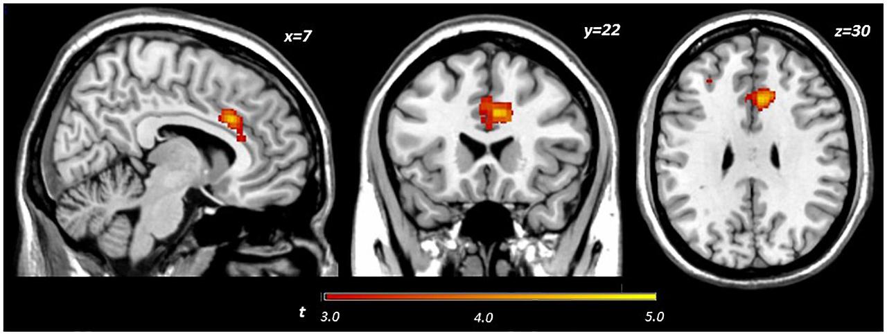
청소년 연구에서의 발견
인간을 대상으로 한 연구에서도 유사한 결과가 보고되고 있습니다. Darcey et al.(2019)은 청소년을 대상으로 한 연구에서 오메가3 섭취가 낮은 그룹은 전전두엽 피질의 기능적 효율성이 떨어지고, 충동 억제력이 감소하는 경향을 보였다고 밝혔습니다. 이 연구는 fMRI를 활용해 전두엽의 활성 패턴을 관찰했는데, 오메가3가 부족한 경우 전두엽이 과도하게 활성화되면서도 실제 인지 수행 능력은 떨어졌습니다. 이는 전두엽 기능의 비효율성과 연관된 것으로 해석되었습니다. 또한 McNamara et al.(2010)은 청소년의 혈중 오메가3 수치와 주의력, 충동 억제력 간의 상관관계를 밝혀, 섭취 부족이 행동 문제와 직접 연결될 수 있음을 제시했습니다.

임신과 초기 발달기의 중요성
태아기와 영아기는 뇌 발달에 가장 중요한 시기입니다. Anderson et al.(2005)은 임신한 원숭이에게 오메가3 결핍 식이를 제공했을 때 태아의 전전두피질 DHA가 크게 감소하고, 이후에도 인지 발달 지연이 나타났다고 보고했습니다. 인간에서도 Carlson et al.(1993)은 모유 수유 아기와 분유 아기를 비교했을 때 DHA가 강화된 분유를 섭취한 영아가 문제 해결 능력과 시각 발달 검사에서 더 높은 점수를 기록했다고 발표했습니다. 이는 임신기와 수유기 여성의 오메가3 섭취가 자녀의 전두엽 발달과 인지 능력에 직접적인 영향을 줄 수 있음을 의미합니다.
오메가3 부족과 행동 문제
오메가3 섭취가 부족할 경우 단순히 뇌 구조의 발달 저해를 넘어서 행동적 문제로 이어질 수 있습니다. Stevens et al.(1995)은 주의력결핍과잉행동장애(ADHD) 아동의 혈중 지방산 분석에서 DHA와 EPA 수치가 낮다는 사실을 보고했습니다. 이후 Richardson(2004)은 오메가3 보충이 ADHD 아동의 집중력과 학습 능력 개선에 도움이 된다고 발표했습니다. 이처럼 전두엽 발달 지연은 단순히 뇌 영상에서 나타나는 구조적 문제뿐만 아니라, 실제 행동 장애와 학습 문제로 이어질 수 있음을 보여줍니다.
균형 잡힌 섭취의 필요성
현대 식단은 오메가6에 치우쳐 오메가3 섭취가 상대적으로 부족한 경우가 많습니다. Simopoulos(2002)는 오메가6와 오메가3의 비율이 20:1 이상으로 치우칠 경우 뇌 발달과 신경계 건강에 악영향을 준다고 보고했습니다. 따라서 청소년과 임산부, 성장기 아동은 오메가3가 풍부한 등푸른 생선, 아마씨, 들기름, 호두 등을 통해 충분한 섭취를 유지해야 합니다. Mozaffarian & Wu(2011)의 대규모 메타분석은 장기간 오메가3 섭취가 심혈관 질환 예방뿐 아니라 뇌 기능 유지에도 도움이 된다고 밝혔습니다. 균형 잡힌 섭취가 전두엽 발달과 건강한 정신 기능을 지키는 핵심입니다.
'Brain Science' 카테고리의 다른 글
| 기억능력을 향상시키기 위해서는 렘수면이 필요하다 (0) | 2025.09.15 |
|---|---|
| 기억 능력을 향상시키기 위해 모달리티를 이용하라 (0) | 2025.09.14 |
| EPA, DHA는 어떻게 다른가? 왜 우리 몸과 뇌에 필요한가? (0) | 2025.09.12 |
| 왜 잠을 자도 몸이 무거운가? 잠은 언제 깨는 것이 좋은가? (0) | 2025.09.11 |
| 수면과 뇌파의 변화 (0) | 2025.09.10 |